デンチュリスト マルシンは保険義歯から金属床義歯まで、弊社独自の方法にて作製している、デンチャー専門ラボです。
デンチャー専門ラボ デンチュリスト マルシン
製品案内
会社概要
お問い合せ
HOME
»
製品案内
» スリープスプリント
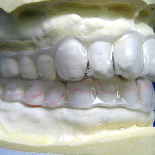
スリープスプリント
Sleep-Splint
スリープスプリント
主に就寝中に使われる咬合床、ブラキシズムの激しい人や睡眠時無呼吸症候群の歯科的な治療器具である。下顎を前進させた状態を固定することにより、上気道の閉塞を防ぐ効果があります。
製品案内
レジン床義歯
FD
PDワイヤークラスプ
PD鋳造鉤・鋳造バー
PD屈曲バー
アクリジェット
金属床義歯
FD
PD上Co-cr床
PD下Co-cr床
ゴールド床
ノンクラスプデンチャー
ベルテックス
スリープスプリント
マウスガード
エックス線撮影
営業日