デンチュリスト マルシンは保険義歯から金属床義歯まで、弊社独自の方法にて作製している、デンチャー専門ラボです。
デンチャー専門ラボ デンチュリスト マルシン
製品案内
会社概要
お問い合せ
HOME
»
製品案内
» 金属床義歯
金属床義歯
Metal Base Denture
FD
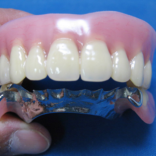
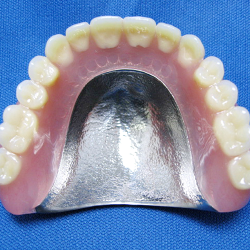
PD上Co-cr床
最も代表的なタイプの金属床で吸着性に優れていて、味覚・熱伝導率もほどよく自然に近い。
PD下Co-cr床
最も代表的なタイプの金属床で吸着性に優れていて、味覚・熱伝導率もほどよく自然に近い。
ゴールド床
比重はあるが、熱伝導率が良く、抗菌作用もある。腐食しにくく、審美的にとても優れている。
製品案内
レジン床義歯
FD
PDワイヤークラスプ
PD鋳造鉤・鋳造バー
PD屈曲バー
アクリジェット
金属床義歯
FD
PD上Co-cr床
PD下Co-cr床
ゴールド床
ノンクラスプデンチャー
ベルテックス
スリープスプリント
マウスガード
エックス線撮影
営業日